U manh tràng là một trong những
nguyên nhân gây bệnh lồng ruột ở trẻ lớn. Đặc điểm lồng ruột do u manh tràng là
tái phát sớm và liên tục ngay sau khi bơm hơi tháo lồng, nếu u không được cắt bỏ
kịp thời, có thể gây biến chứng thủng ruột.
Vào đầu tháng 10 năm 2023, các
bác sĩ Khoa Ngoại Tổng hợp, Bệnh viện Trẻ em Hải Phòng tiếp nhận một bệnh nhân
nữ 6 tuổi, vào viện vì đau bụng cơn. Qua thăm khám bụng sờ thấy khối lồng ruột
vùng hạ sườn phải. Với kinh nghiệm nhiều
năm về chẩn đoán và xử trí lồng ruột ở trẻ lớn, vì lồng ruột ở trẻ lớn hay có
nguyên nhân thực thể như túi thừa Meckel, nang ruột đôi (một loại dị dạng ở ruột),
polyp đại tràng… các bác sĩ đã cho bệnh nhân chụp CT ổ bụng có thuốc cản quang
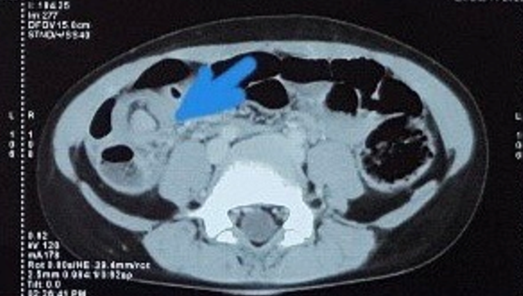
để tìm nguyên nhân gây bệnh. Trên phim chụp CT ổ bụng phát hiện bên cạnh khối lồng
là hình ảnh khối u manh tràng đường kính 3cm.

Hình
1: Phim CT ổ bụng, mũi tên màu xanh chỉ khối lồng và khối u manh tràng
Xác định đây là một trường hợp
lồng ruột ở trẻ lớn có nguyên nhân là khối u manh tràng. Ngay sau khi bơm hơi
tháo lồng, bệnh nhân được chỉ định nội soi đại tràng kiểm tra và cắt u. Trên
màn hình nội soi quan sát thấy khối u có kích thước lớn bất thường, chiếm toàn
bộ lòng manh tràng, không nhìn thấy cuống u, việc cắt bỏ u qua đường nội soi đại
tràng trở nên không khả thi, các bác sĩ nội soi tiêu hóa đã hội chẩn với bác sĩ
Ngoại và quyết định chuyển Khoa Ngoại Tổng hợp để phẫu thuật cắt u.

Hình
2: Khối u manh tràng quan sát thấy trên màn hình nội soi đại tràng, kích thước
lớn choán chỗ toàn bộ lòng manh tràng
Vấn đề đặt ra là phải tiến
hành cắt u càng sớm càng tốt để tránh lồng ruột tái phát. Các bác sĩ Khoa Ngoại
Tổng hợp đã tiến hành hội chẩn và chỉ định phẫu thuật nội soi mở manh tràng cắt
u. Phẫu thuật nội soi mở manh tràng cắt u có nguy cơ rò cao hơn mở ruột non,
đòi hỏi phẫu thuật viên phải có kinh nghiệm. Sau khi mở manh tràng, bộc lộ khối
u, các bác sĩ đã tiến hành cắt u bằng dụng cụ nội soi, khối u không có cuống,
đường kính 3cm (Hình 3), phần tiếp giáp với thành manh tràng rộng, nguy cơ thủng
manh tràng trong phẫu thuật cao. Tuy nhiên kíp mổ đã cắt thành công toàn bộ khối
u an toàn và gửi u làm xét nghiệm mô bệnh học.

Hình
3: Khối u manh tràng được bộc lộ qua chỗ mở manh tràng bằng nội soi
Sau khi cắt toàn bộ khối u,
các bác sĩ đã tiến hành khâu lại chỗ mở manh tràng bằng nội soi, (Hình 4). Sau
phẫu thuật, sức khỏe bệnh nhân diễn biến thuận lợi, hết đau bụng, ăn được,
không bị lồng ruột tái phát.

Hình
4: Khâu lại manh tràng bằng nội soi sau khi cắt u manh tràng
Phẫu thuật nội soi cắt u manh
tràng đem lại nhiều lợi ích cho bệnh nhân. Trước tiên đó là phẫu thuật ít sang
chấn, sau mổ bệnh nhân ít đau hơn mổ mở, và phục hồi sức khỏe nhanh hơn. Sau đó
là hiệu quả thẩm mĩ, phẫu thuật nội soi đem lại hiệu quả thẩm mĩ cao, sẹo mổ rất
nhỏ, (Hình 5).

Hình
5: Hình ảnh vết mổ sau mổ nội soi cắt u manh tràng
Bệnh viện Trẻ em Hải Phòng là
bệnh viện Nhi khoa tuyến đầu của Thành phố Hải Phòng, với trang thiết bị chẩn
đoán hiện đại và đội ngũ phẫu thuật viên có kinh nghiệm, có tay nghề cao, sẵn
sàng đáp ứng những kĩ thuật khó trong điều trị bệnh Ngoại khoa trẻ em.
Khoa Ngoại Tổng hợp