1. BỆNH MÔ BÀO LANGERHANS LÀ GÌ?
- Bệnh mô bào Langerhans (Langerhans Cell Histiocytosis-LCH) là một bệnh
ác tính hiếm gặp, do rối loạn tăng sinh tế bào miễn dịch Langerhans.
- Các tế bào này có thể tập trung
thành khối (u) hoặc thâm nhiễm lan toả gây tổn thương xương, da, hạch, gan,
lách, phổi, tủy xương và đôi khi não, tuyến yên.
2. BỆNH GẶP Ở AI?
- Có thể biểu hiện ở mọi lứa tuổi từ sơ sinh đến tuổi trưởng thành
nhưng lứa tuổi mắc nhiều nhất là trẻ em từ 0-15.
- Nam mắc bệnh nhiều hơn nữ (2:1)
3. CÁC DẤU HIỆU NHẬN
BIẾT BỆNH
Phụ thuộc vào triệu chứng và mức độ
lan rộng của bệnh mà có các biểu hiện ở nhiều cơ quan:
- Xương: Tiêu xương. Có thể đau, sưng,
hoặc có khối mô mềm ở xung quanh. Khi tổn thương xương sọ lan rộng vào hệ thần
kinh có thể gây triệu chứng của hệ thần kinh. Tổn thương xương có thể gây viêm
tai giữa (do phá huỷ xương trán và xương chũm), tạo thành khối quanh ổ mắt, rụng
răng do phá huỷ xương hàm hoặc suy tuyến yên do phá huỷ hố yên. Đôi khi tổn
thương xương dài có thể gây gãy xương bệnh lý, xẹp đốt sống và chèn ép tuỷ.
- Da: Phát ban; các nốt gây loét hoá
hay gặp vùng quanh miệng, vùng bẹn, sau tai; sưng mí mắt.
- Hạch: Sưng đau.
- Gan – lách: To lan tỏa.
- Phổi: Khó thở, ho khan, đau ngực.
- Hệ nội tiết: Khát nhiều, tiểu nhiều
do tổn thương vùng dưới đồi-tuyến Yên.
- Các triệu chứng khác: Sốt, mệt mỏi, sụt
cân, răng lung lay.
4. CHẨN ĐOÁN, ĐIỀU TRỊ
- Chẩn đoán: Dựa trên triệu chứng, hình ảnh học
(X-quang, CT), sinh thiết mô.
- Điều trị: Phụ thuộc vào mức độ lan rộng của
bệnh. Tổn thương đơn độc của xương có thể khỏi sau khi cắt bỏ và xạ trị tại chỗ.
Tuy nhiên nếu bệnh lan rộng toàn thân phải điều trị bằng hoá chất.
Hầu
hết trẻ em mắc bệnh nếu được phát hiện kịp thời đều có thể được điều trị thành
công.
5. VAI TRÒ CỦA GIẢI PHẪU
BỆNH TRONG CHẨN ĐOÁN XÁC ĐỊNH BỆNH
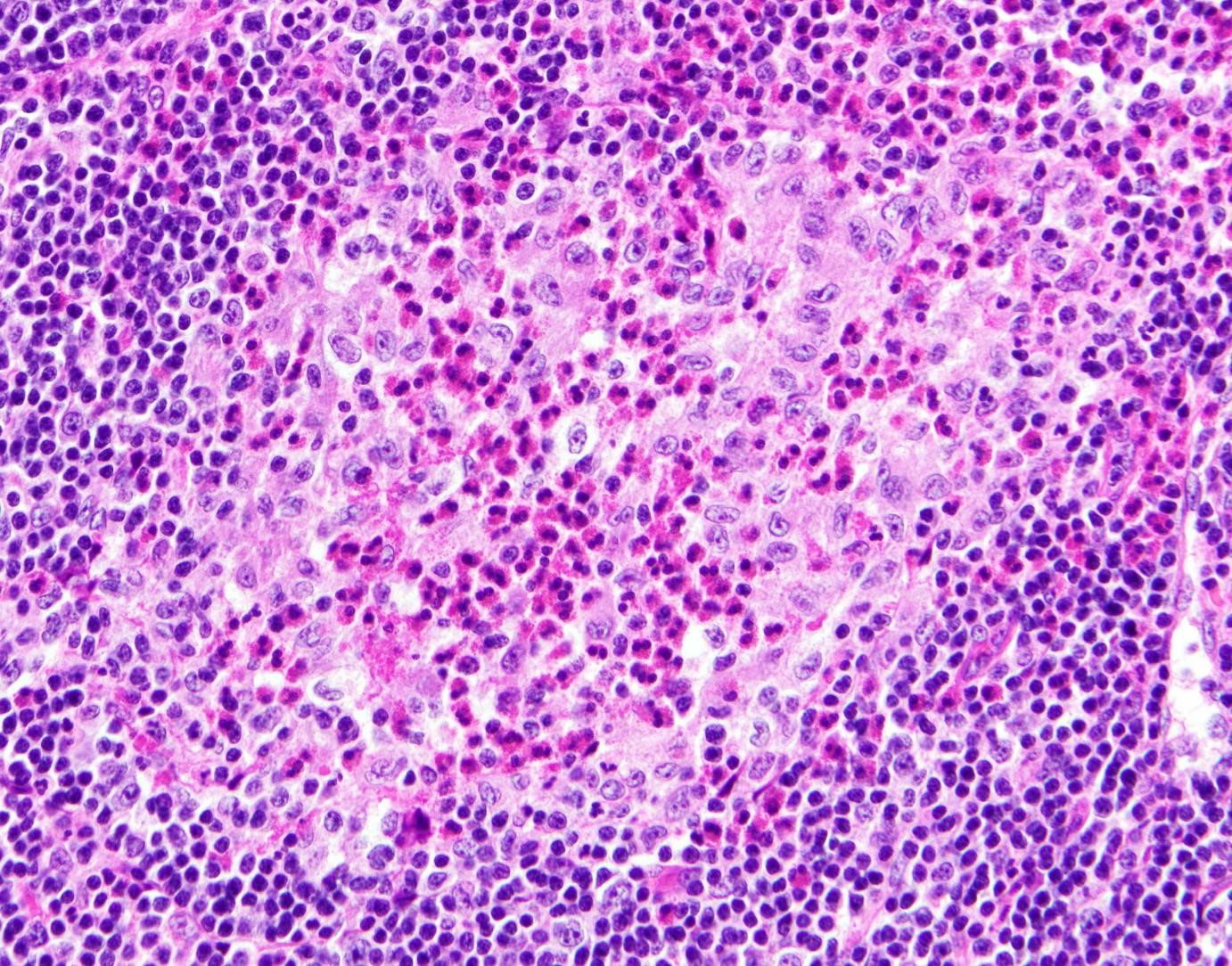
Chẩn đoán xác định bệnh dựa vào sinh
thiết mô và hoá mô miễn dịch. Tổn thương gồm nhiều mô bào Langerhans và bạch cầu
ưa acid. Mô bào với đặc điểm nhân hình ovan, có khía lõm dọc theo chiều dài gợi
hình ảnh hạt cà phê. Ranh giới tế bào rõ, bào tương rộng, màu hồng, dạng hạt.
Nhuộm hoá mô miễn dịch, mô bào Langerhans dương tính với CD1a, S100.
Xét nghiệm mô bệnh học: Tổn thương được sinh thiết và gửi làm xét nghiệm mô
bệnh học, trên kính hiển vi quang học có thể thấy tổn thương gồm:
- Tế bào Langerhans tăng sinh chiếm ưu thế, xen lẫn:
+ Bạch cầu ái toan (eosinophils) – thường rất nhiều.
+ Lympho bào, tương bào, đại thực bào, đôi khi tế bào khổng lồ.
Mô bệnh học còn giúp phân biệt Bệnh
mô bào Langerhans với các bệnh u mô bào khác (như u mô bào Rosai–Dorfman, u mô
bào tế bào xơ).

Hình ảnh
mô bệnh học cho thấy bệnh xâm nhập vào hạch
→ Giải phẫu bệnh giữ vai trò quyết định trong chẩn đoán bệnh. Chỉ khi quan sát mô bệnh dưới kính hiển
vi, bác sĩ mới xác định được chính xác loại tổn thương. Sinh thiết mô là tiêu chuẩn vàng để chẩn đoán xác định bệnh.
6. THÔNG ĐIỆP ĐẾN PHỤ
HUYNH
- Giải phẫu bệnh là bước không thể thiếu trong chẩn đoán xác định
Bệnh mô bào Langerhans. Kết
quả giải phẫu bệnh giúp định hướng tiên lượng và lựa chọn điều trị chính xác, đặc
biệt trong các trường hợp nghi ngờ lan tỏa đa cơ quan.
- Khoa Giải phẫu bệnh Bệnh viện Nhi Hải Phòng có khả
năng chẩn đoán sàng lọc những trường hợp nghi ngờ bệnh và chẩn đoán xác định
các trường hợp điển hình. Phụ huynh nên đưa con đến khám nếu có các biểu hiện
nghi ngờ, bất thường để được thăm khám và chẩn đoán và điều trị kịp thời.