Lõm ngực bẩm sinh là biến dạng bất thường của lồng ngực do sự phát triển bất thường của một số xương sườn và xương ức làm lồng ngực bị lõm vào.
Dị tật có thể phát hiện ngay sau sinh hoặc đến tuổi dậy thì, đa số phát hiện ngay sau sinh.
Diễn tiến tự nhiên của lõm ngực không bao giờ tự khỏi, có thể giữ nguyên mức độ như ngay sau sinh nhưng tuy nhiên, đa số nặng dần lên từ sau sinh đến tuổi dậy thì và đặc biệt phát triển nhanh chóng giai đoạn dậy thì.

1.1 Lõm ngực
Bệnh nếu không điều trị có thể ảnh hưởng đến tim mạch và chức năng hô hấp, đặc biệt là vấn đề thẩm mỹ là vấn đề chủ yếu làm các bậc phụ huynh đưa trẻ đến gặp bác sĩ.
Trong lịch sử đã có rất nhiều phương pháp được áp dụng như cắt bỏ thành ngực trước, dung khung kéo bên ngoài, cắt sụn sườn biến dạng mở ngang xương ức không hoặc có sử dụng dụng cụ nâng xương ức. Tuy nhiên các phương pháp này có đặc điểm chung là phức tạp, thời gian mổ kéo dài, mất máu nhiều, tỉ lệ biến chứng và tái phát cao.

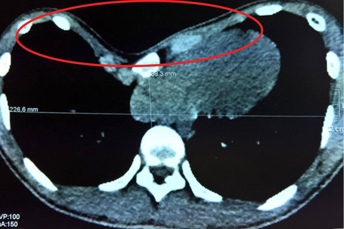
1.2 Hình ảnh chụp cắt lớp vi tính tổn thương lõm ngực bẩm sinh
Giai đoạn 1986– 1997, Nuss (Children’s hospital of the King’s daughters. Florida) công bố kinh nghiệm 42 ca điều trị lõm ngực bằng sử dụng thanh đỡ sau xương ức. Sau đó phẫu thuật Nuss đã nhanh chóng phổ biến khắp thế giới do nhiều ưu điểm.

1.3 Phẫu thuật Nuss
Về độ tuổi tiến hành phẫu thuật, chúng tôi bắt đầu phẫu thuật cho trẻ từ 3 tuổi trở lên, đây là độ tuổi thích hợp vì cấu trúc khung xương còn mềm, mức độ đau sau mổ nhẹ hơn, và sau này khi lớn trẻ không nhớ về bệnh và cuộc phẫu thuật.
Chúng tôi tiếp nhận các bệnh nhân lõm xương ức quanh năm, nhưng nhiều nhất là vào mùa hè khi các cháu được nghỉ học.
Tại bệnh viện Trẻ em Hải phòng, chúng tôi được trang bị đầy đủ giàn máy nội sọi hiện đại nhất, các phẫu thuật viên được đào tạo bài bản trong và ngoài nước, đội ngũ gây mê trẻ em chuyên sâu, vì vậy không chỉ khâu phẫu thuật được làm tốt, bệnh nhân sau mổ còn được giảm đau bằng các kĩ thuật tối ưu nhất, nên hầu hết các cháu đều rất thoải mái sau mổ. Vì đau sau mổ là vấn đề ám ảnh nhất đối với bệnh nhân mổ lõm xương ức.

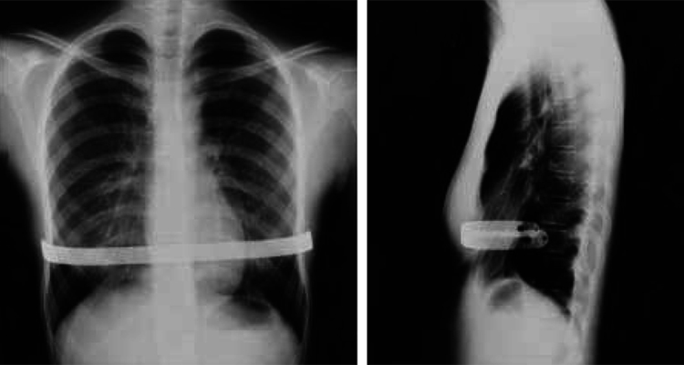
1.4 Chụp X quang sau mổ
Mới đây, ngày 06/08/2019, Khoa Ngoại Tổng hợp bệnh viện trẻ em đã phẫu thuật cho cháu Phạm Duy K 15 tuổi bị lõm xương ức, cháu phát hiện lõm xương ức nhiều năm nay nhưng gia đình không để ý, chỉ đến khi cháu cảm thấy khó thở khi tham gia tiết thể dục tại lớp với các bạn cùng lứa tuổi gia đình mới cho đi khám. Dưới sự chỉ đạo của Ths. Bs CK2 Trần Minh Cảnh PGĐ bệnh viện, BS CK1 Nguyễn Minh Hải và BS Bùi Quốc Vượng đã phẫu thuật thành công cho bệnh nhân, sau mổ ngực bệnh nhân hết lõm, gia đình rất hài long, cháu bé cũng rất vui vì từ nay sẽ không còn mặc cảm với bạn bè về bất thường của mình.

1.5 Một số hình ảnh trong mổ
ThS. Bs CK2 Trần Minh Cảnh cho biết: “ Khi bố mẹ phát hiện trẻ có vị trí lõm ở giữa ngực, nên cho trẻ đến các cơ sở y tế có phẫu thuật chuyên khoa Nhi để được khám và điều trị kịp thời. Bệnh lõm xương ức nên được mổ đúng lưa tuổi thích hợp, không nên sớm hoặc muộn quá”
Tại miền Bắc Việt Nam, ngoài bệnh viện Nhi Trung ương, bệnh viện Trẻ em Hải phòng là 1 cơ sở phẫu thuật nhi khoa thực hiện bài bản và hiệu quả phẫu thuật nội soi nâng xương ức điều trị lõm ngực bẩm sinh được công nhận bởi bệnh viện Nhi trung ương, ngoài ra hầu hết các bệnh viện Nhi khác chưa làm được
Bác sĩ Chuyên khoa I Nguyễn Minh Hải, khoa Ngoại Tổng hợp