Không nên chủ quan với bệnh u buồng trứng ở trẻ em
06-04-2021 07:00
U buồng trứng ở trẻ em là bệnh thường gặp nhưng lại hay bị bỏ qua do triệu chứng của bệnh khá mơ hồ khiến gia đình bệnh nhân chủ quan và hay đưa trẻ đến khám lúc u quá to hoặc có biến chứng xoắn u, gây hoại tử một bên buồng trứng và vòi trứng, ảnh hưởng đến khả năng sinh sản sau này của trẻ.

Hình 1: U buồng trứng xoắn hoại tử
Triệu chứng của u buồng trứng thường không đặc hiệu, trẻ chỉ thường xuất hiện đau bụng cơn rồi tự hết, có khi chỉ kèm theo buồn nôn mà không có thêm những triệu chứng gì khác khiến cha mẹ vẫn nghĩ rằng con mình bị rối loạn tiêu hóa, mà quên đưa trẻ đi bệnh viện khám và điều trị. Rất nhiều trường hợp u buồng trứng được phát hiện tình cờ qua siêu âm khi cha mẹ đưa trẻ đến khám vì những bệnh khác, như rối loạn tiêu hóa hay nhiễm khuẩn tiết niệu.
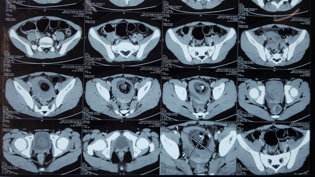
U buồng trứng có hai loại hay gặp là u nang thanh dịch buồng trứng và u quái buồng trứng. Cả hai loại u này đều được chẩn đoán dễ dàng tại Bệnh viện Trẻ em Hải Phòng bằng siêu âm và chụp CT ổ bụng.

Hình 2: U buồng trứng trên phim chụp CT ổ bụng
Tại Bệnh viện Trẻ em Hải Phòng, sau khi được chẩn đoán xác định u buồng trứng, trẻ được làm các xét nghiệm phục vụ cho phẫu thuật. Phẫu thuật nội soi cắt u, bảo tồn buồng trứng được tiến hành thường qui. Phẫu thuật nội soi có ưu điểm ít đau, vết mổ nhỏ đảm bảo yếu tốt thẩm mĩ sau mổ.
U buồng trứng là bệnh không hiếm gặp, nhưng lại hay bị bỏ qua. Các bậc cha mẹ nếu thấy con mình hay đau bụng, cho dù thoáng qua, cũng nên đưa trẻ đến Bệnh viện Trẻ em Hải Phòng để được thăm khám và điều trị kịp thời.
Khoa Ngoại tổng hợp