Các bác sỹ Bệnh viện Trẻ em Hải Phòng cho biết vừa
phẫu thuật nội soi cấp cứu thành công một trường hợp trẻ 16 tháng tuổi bị thoát
vị cơ hoành bên phải bẩm sinh. Đây là một ca bệnh ít gặp do bệnh thoát vị hoành
chủ yếu xảy ra ở bên trái.

Hình
1. Các bác sĩ phẫu thuật nội soi cho bệnh nhân
Bệnh
nhi P.Q.Nh 16 tháng tuổi ở nhà ho, khó thở 4 ngày; đi khám tại phòng khám tư
nhân được điều trị theo hướng viêm phổi. Sau đó trẻ xuất hiện nôn, gia đình đưa
trẻ đến khám tại một bệnh viện tư nhân trong thành phố, tại đây trẻ được chẩn
đoán viêm phổi/ nhiễm virus RSV/ theo dõi thoát vị cơ hoành chưa loại trừ dị
dạng nang tuyến phổi bẩm sinh. 9h sáng ngày 11/4, trẻ đã được chuyển đến bệnh
viện Trẻ em Hải Phòng. Sau khi được khám và làm xét nghiệm chuyên sâu, trẻ đã
được các Bác sỹ khoa Ngoại tổng hợp chẩn đoán Suy hô hấp/ thoát vị cơ hoành bên
Phải/ viêm phổi nặng nhiễm virus RSV. Sau 3h nhập viện, trẻ được chỉ định mổ
nội soi lồng ngực cấp cứu. Trong quá trình phẫu thuật, các bác sĩ phát hiện
nhiều đoạn ruột từ ổ bụng chui lên khoang lồng ngực bên phải. Do bệnh diễn biến
lâu, các quai ruột phù nề gây chèn ép tim và mạch máu lớn gây xẹp phổi P. Sau
khi cẩn thận, khéo léo đưa các đoạn ruột trở lại ổ bụng, các bác sĩ phát hiện
cơ hoành bên P bị thiểu sản nặng tạo 1 lỗ đường kính 5cm thông thương với ổ
bụng. Việc thiểu sản nặng khiến các Bác sĩ phải rất khó khăn trong việc khâu
phục hồi cơ hoành khi phải kết hợp nội soi kèm khâu ngoài thành ngực mới có thể
đóng kín được lỗ thoát vị. Ca phẫu thuật cấp cứu diễn ra trong giờ nghỉ trưa,
kết thúc thành công sau gần 1 giờ trong niềm vui của đội ngũ bác sĩ và gia
đình. Đến chiều cùng ngày trẻ đã tỉnh
táo hoàn toàn, tự thở, chơi ngoan. Sau 8 ngày điều trị trẻ đã được xuất viện.

Hình 2: Hình ảnh các quai
ruột chui lên lồng ngực qua lỗ thoát vị hoành P

Hình 3: Các bác sĩ tiến
hành khâu lỗ thoát vị bằng nội soi

Hình 4: Lỗ thoát vị được
khâu kín bằng nội soi kết hợp khâu ngoài thành ngực
Bác sĩ Chuyên khoa I Nguyễn Minh Hải – Phó trưởng
khoa Ngoại Tổng hợp cho biết: Thoát vị hoành bẩm sinh là sự khiếm khuyết của cơ hoành dẫn đến các tạng
trong ổ bụng như ruột non, đại tràng, dạ dày, lách, gan chui lên lồng ngực từ
khi thai nhi trong bụng mẹ gây thiểu sản phổi. Tỷ lệ gặp bệnh khoảng 1/2500 –
1/5000 trẻ. Trường hợp vị hoành bên P của BN P.Q.Nh là rất hiếm gặp, do thoát
vị hoành phần lớn ở bên trái (90%) và chủ yếu là thoát vị qua lỗ sau bên của cơ
hoành trái (Thoát vị Bochdalek). Trước đây tỷ lệ tử vong của thoát vị hoành
là hơn 60%, nguyên nhân chủ yếu là do sự
thiểu sản phổi và tăng áp động mạch phổi, kết hợp các dị tật khác phối hợp.
Các
triệu chứng lâm sàng của bệnh thường gặp là khó thở, thở gắng sức, tím tái sau
sinh, suy hô hấp… ngoài ra dạ dày, ruột chui lên lồng ngực bị nghẹt lại gây các
triệu chứng tắc ruột rất khó chẩn đoán nếu không có kinh nghiệm.
Phẫu thuật là phương pháp điều trị bắt buộc – đây là một phẫu
thuật khó, đặc biệt là phẫu thuật nội soi trên BN 16 tháng tuổi. Do khoang lồng
ngực nhỏ, tình trạng phổi của bệnh nhân bị chèn ép lâu dài từ trong thời kỳ bào
thai dẫn đến tăng áp lực động mạch phổi luôn là thách thức lớn đối với không
chỉ Bác sĩ phẫu thuật mà ngay cả Bác sĩ gây mê.
Do vậy, có rất ít bệnh viện trong thành phố Hải Phòng cũng như các tỉnh
thành lân cận có thể thực hiện được phẫu thuật này.

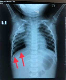
Hình 5: vòm
hoành P liên tục trên phim Xquang ngực buổi chiều ngay sau mổ

Hình 6: Vết
mổ nội soi nhỏ, thẩm mỹ
Các
bác sĩ cũng khuyến cáo khi phát hiện trẻ có bất kì dấu hiệu nào bất thường như:
đau bụng, nôn, khó thở, tím… cha mẹ không nên chủ quan mà nên đưa trẻ đến khám
tại các bệnh viện chuyên khoa Nhi để được khám và điều trị kịp thời.
Bệnh
viện Trẻ em Hải Phòng là bệnh viện chuyên khoa Nhi Hạng 1 của thành phố, bệnh
viện luôn có đội ngũ thường trực sẵn sàng cấp cứu 24/24 giờ trong ngày và tất
cả các ngày trong tuần bao gồm các ngày nghỉ lễ.
Khoa Ngoại tổng hợp