Dị vật đường tiêu hóa, hiểm họa khó lường
25-10-2024 09:00
Ngày
23/10/2024, bệnh viện Trẻ em Hải Phòng cấp cứu thành công trường hợp bệnh nhi
11 tuổi hóc dị vật đường tiêu hóa bằng phương pháp nội soi gây mê.
Bệnh nhi 11 tuổi, địa chỉ ở
quận Lê Chân-Hải Phòng trong quá trình uống nước đã nuốt hàm duy trì tháo lắp
có cấu tạo gồm miếng nhựa và dây kim loại để cố định răng sau niềng bị rơi ra.

Hình
ảnh dị vật nằm trong đường tiêu hoá
Theo lời kể của gia đình,
sau nuốt cháu rất khó chịu, đau nhiều vùng cổ, buồn nôn và đau tức ngực.
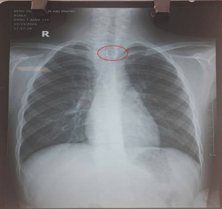
Kết quả trên hình phim, các bác sĩ phát hiện một
vật cản quang là 1 phần dây kim loại hình ảnh giống như mô tả của gia đình nằm
tại vị trí thực quản đoạn cổ.

Hình
ảnh XQ dị vật trong đường tiêu hoá
Cháu bé nhanh chóng được tiến hành gây
mê, nội soi và gắp kịp thời chiếc hàm duy trì kim loại tháo lắp sau niềng răng
kích thước gần 3cm ra khỏi đoạn 1/3 trên thực quản an toàn. Sau khi được nội
soi gắp thành công, hiện sức khỏe cháu bé đã ổn định.


Hình
ảnh dị vật là hàm duy trì đã được bác sĩ xử trí kịp thời
Các bác sĩ khuyến cáo việc
nuốt phải các vật liệu và dụng cụ trong quá trình chỉnh nha là một trong những
sự cố hiện nay không quá hiếm gặp, đặc biệt các đối tượng trẻ em và người già
gây nên hậu quả rất nghiêm trọng ở 1 số trường hợp như: tổn thương niêm mạc hầu
họng và đường tiêu hoá, suy hô hấp, xuất huyết tiêu hoá. Vì vậy trong quá trình
chỉnh nha khoa cần được thăm khám định kỳ và tái khám lại ngay khi thấy dấu hiệu
bất thường để tránh các sự cố gây nguy hiểm đến tính mạng. Khi phát hiện trẻ nuốt
dị vật cần nhanh chóng đưa trẻ tới cơ sở y tế để được xử trí kịp thời.
Bệnh viện Trẻ em với đội
ngũ Bác sỹ nội soi có trình độ chuyên môn cao, hệ thống nội soi hiện đại đã thực
hiện thành công nhiều ca dị vật đường tiêu hóa.