PHẪU THUẬT NỘI SOI CẤP CỨU KỊP THỜI CHO 2 TRƯỜNG HỢP TẮC
RUỘT NON DO DÂY CHẰNG
Vừa qua Khoa Ngoại Tổng hợp – Bệnh viện Trẻ em
Hải Phòng đã tiến hành cấp cứu cho 2 bệnh nhi bị tắc ruột non do dây chằng gây
nghẹt ruột bằng phương pháp phẫu thuật nội soi. Đây là một trong nhiều kỹ thuật
cao mà Bệnh viện đang áp dụng giúp bệnh nhi hồi phục nhanh hơn, thời gian nàm
viện ngắn hơn và thẩm mỹ.
Ngày 03/04/2024 BN T.N.U 5T tiền sử khoẻ mạnh,
được gia đình đưa đến Bệnh viện Trẻ em Hải Phòng khám vì đau bụng từng cơn vùng
quanh rốn, nôn nhiều, không đại tiện được. Nhập viện với hội chứng tắc ruột rõ
( bụng chướng, có quai ruột nổi) nên dù
siêu âm và X-Quang bụng lần đầu bình thường, BN đã được các Bác sỹ khoa Ngoại tổng
hợp chẩn đoán tắc ruột sau khi được tiến hành làm các xét nghiệm cao cấp hơn
như chụp cắt lớp vi tính ( hình ảnh tắc ruột do dây chằng) , chụp lưu thông ruột
( sau 8h thuốc cản quang không sang được đại tràng ).. Ngay lập tức BN đã được
phẫu thuật cấp cứu để lập lại lưu thông đường tiêu hoá.

|
|
Hình 1(phim chụp lưu thông ruột): sau 8 giờ thuốc vẫn ở ruột non, không sang được ruột già
|
|
Trước đó vào lúc 1h ngày 02/04/2024 BN V.H.T
12T nhập viện trong tình trạng đau bụng cơn nhiều, nôn nhiều, bụng chướng tăng
dần, không đi đại tiện được mặc dù đã thụt tháo phân, BN có tiền sử đã được phẫu
thuật nội soi cắt ruột thừa cách đây 3 tháng. Sau khi được làm các xét nghiệm chẩn đoán tắc
ruột, BN cũng đã được phẫu thuật để giải
quyết tình trạng cấp cứu ngay trong đêm, chỉ sau vài giờ nhập viện.
|

|
|
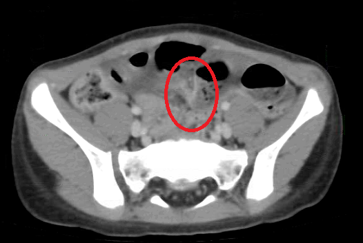
Hình 2: hình ảnh nghi tắc ruột do dây chằng trên
phim chụp Cắt lớp vi tính
|
Cả 2 trường hợp trên đều được các Bác sỹ khoa
Ngoại tổng hợp – Bệnh viện Trẻ em Hải Phòng tiến hành phẫu thuật nội soi. Trong
quá trình phẫu thuật, các Bác sỹ phát hiện có 1 dây chằng vắt qua 1 quai ruột
gây nghẹt ruột, các quai ruột phía trước giãn to, phù nề, xung huyết nhiều –
đây là nguyên nhân chính gây tắc ruột. Ca phẫu thuật diễn ra nhanh chóng, chỉ
sau 30ph đã giải quyết được tình trạng tắc nghẽn, lập lại được lưu thông đường
tiêu hoá. Sau phẫu thuật thuật cả 2 BN đều hồi phục rất nhanh, đã ăn cháo được,
dự kiến sớm xuất viện.
|

|
|
Hình 3 (
hình ảnh trong mổ Nội soi): dây
chằng vắt qua gây nghẹt ruột
|
Theo BSCKI. Nguyễn Minh Hải – Phó trưởng khoa
Ngoại Tổng hợp, Bệnh viện Trẻ em Hải Phòng cho biết: Tắc ruột non là một bệnh
lý tiêu hoá cấp tính, nguy hiểm chỉ đứng sau viêm ruột thừa cấp. Tình trạng tắc
ruột làm tắc nghẽn đường đi của thức ăn, tổn thương mạch máu ruột - là nguyên
nhân gây hoại tử ruột, nếu không điều trị kịp thời có thể gây nguy hiểm đến
tính mạng. Phẫu thuật nội soi trong điều trị tắc ruột đến sớm giúp BN hồi phục
sau mổ nhanh hơn, thời gian nằm viện ít hơn và sẹo mổ bé, thẩm mỹ hơn thay vì sẹo
mổ to, dài, nhiều biến chứng sau mổ ( đau sau mổ, tắc ruột do dính vào vết mổ)
|

|
|
Hình 4: vết
mổ qua nội soi mang lại tính thẩm mỹ cao, hồi phục nhanh
|
Bệnh viện khuyến cáo các bậc phụ huynh khi trẻ
có các biều hiện đau bụng cơn; nôn; bụng chướng; không đi ngoài được thì không
được chủ quan, nên đưa đến khám để phát hiện sớm, tránh biến chứng.
Bệnh viện Trẻ em Hải Phòng là bệnh viện chuyên
khoa tuyến đầu của Thành phố Hải Phòng. Thực hiện chủ trương lấy chăm sóc sức
khoẻ nhân dân làm kim chỉ nam, do vậy bệnh viện đã và đang áp dụng những kỹ thuật
hiện đại nhất, không chỉ nội soi tắc ruột mà còn nội soi điều trị viêm ruột thừa;
thoát vị bẹn; u nang ống mật chủ; thoát vị hoành bẩm sinh.. giúp giải quyết tất
cả các trường hợp cấp cứu 24/24h từ các nơi trong thành phố và các tỉnh thành
lân cận.
|
|
Hải Phòng, ngày 8
tháng 4 năm 2024
Khoa Ngoại Tổng hợp
|