PHẪU THUẬT THÀNH CÔNG MỘT TRƯỜNG HỢP TẮC TÁ TRÀNG TẠI BỆNH VIỆN NHI HẢI PHÒNG
27-08-2025 15:00
Các bác sĩ Khoa Ngoại tổng hợp, Bệnh viện Nhi Hải Phòng vừa phẫu thuật thành công cho một trẻ sơ sinh bị dị tật bẩm sinh đường tiêu hóa, tắc tá tràng do tụy nhẫn. Đây là một căn bệnh hiếm gặp, khó phát hiện, khó phẫu thuật và gây mê hồi sức nếu không có chuyên môn và kinh nghiệm tốt.
Theo lời kể của gia đình, trong quá trình mang thai, chị Ng.T.H đã phát hiện con bị tắc tá tràng từ lúc thai 27 tuần qua siêu âm. Bé chào đời sau ca sinh thường, cân nặng thấp chỉ 1900 gram tại bệnh viện Phụ Sản Hải Phòng. Sau sinh bé liên tục có dấu hiệu nôn trớ, nôn dịch xanh, được chuyển ngay sang bệnh viện Nhi Hải Phòng.
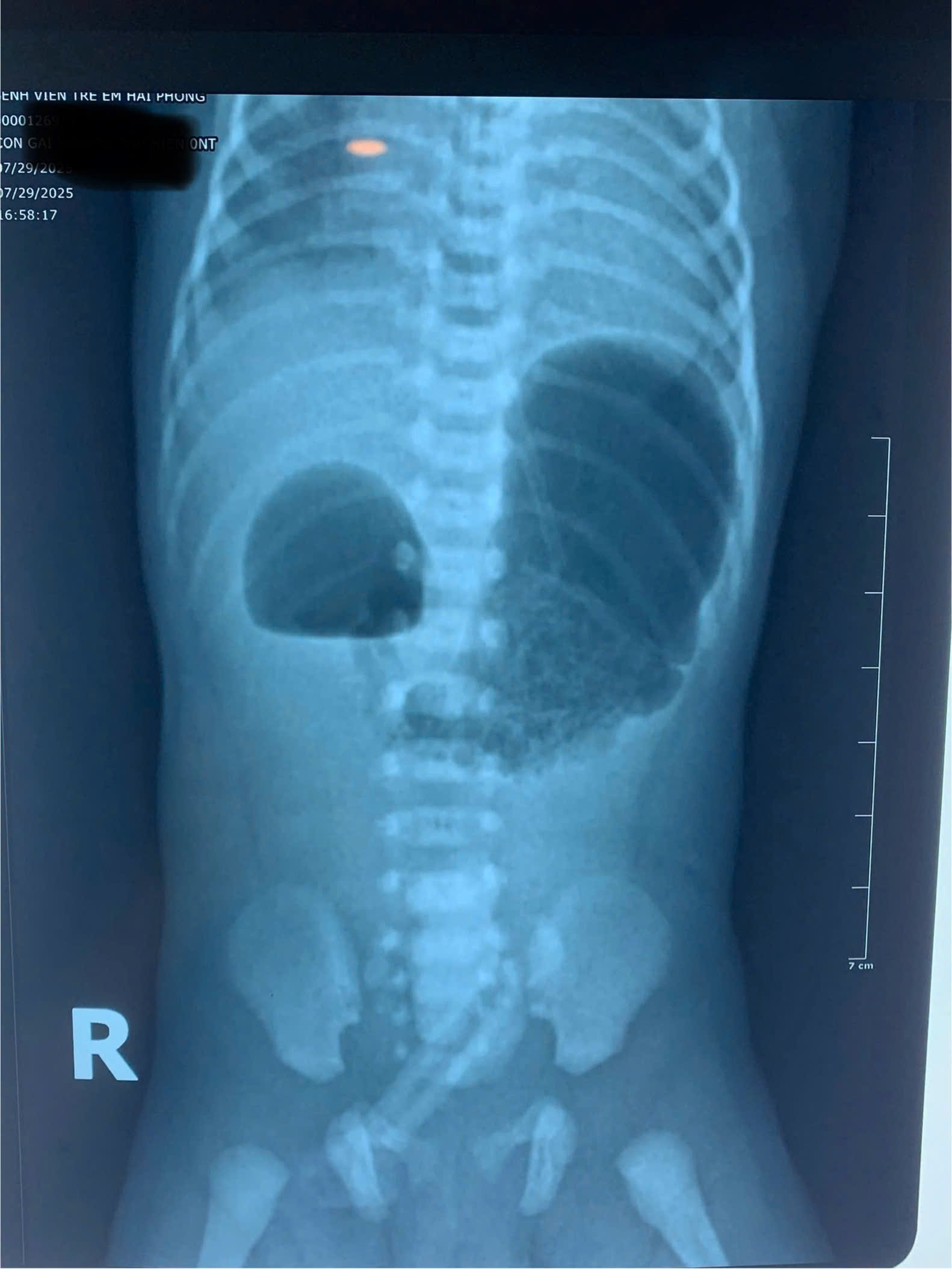
Khi nhập viện, bé ở trong tình trạng mất nước, thóp lõm, rối loạn điện giải và thiếu máu. Các bác sĩ đã nhanh chóng tiến hành hồi sức tích cực, nuôi dưỡng tĩnh mạch và bù điện giải, quá trình khám và làm các xét nghiệm chẩn đoán hình ảnh phát hiện trẻ bị tắc tá tràng bẩm sinh. Sau điều trị hồi sức, sức khỏe bé tạm ổn định các bác sĩ nhanh chóng tiến hành phẫu thuật để lập lại lưu thông đường tiêu hóa bằng phương pháp nối tá – tá tràng.
Ca phẫu thuật đã diễn ra thành công, bé hiện sức khỏe ổn định, bú tốt, tự đại tiện bình thường.
Bác sĩ CKI Nguyễn Mạnh Toàn – Phó Trưởng khoa Ngoại tổng hợp, Bệnh viện Nhi Hải Phòng cho biết, tắc tá tràng bẩm sinh là nguyên nhân gây tắc nghẽn đường tiêu hóa ngay từ khi trẻ chào đời.
Đây là căn bệnh hiếm gặp với tỷ lệ mắc từ 1/5.000 đến 1/10.000 trẻ. Bệnh có thể được phát hiện sớm qua siêu âm từ tuần thai 18-20 với dấu hiệu như mẹ đa ối và hình ảnh dạ dày tá tràng phình lớn do tắc nghẽn, sau sinh trẻ thường có nôn trớ ra dịch xanh, vàng. Trẻ cần được chẩn đoán sớm sẽ giúp điều trị kịp thời sau sinh, ngăn ngừa các biến chứng nguy hiểm.




\