Ngày 02/08/2023, Kíp phẫu thuật Khoa Ngoại Tổng hợp – Khoa gây mê hồi sức của Bệnh viện Trẻ em Hải Phòng đã tiến hành Phẫu thuật nội soi lồng ngực thành công cho một bệnh nhân nam 15 tuổi, vỡ kén khí phổi gây tràn khí màng phổi mức độ nặng.
Bệnh nhân Đ.T.D 15 tuổi, tiền sử khoẻ mạnh, ngày 30/7/2023 vào viện vì đột ngột xuất hiện đau ngực phải, khó thở, ho khan được chẩn đoán Tràn khí màng phổi phải tự phát tiên phát, ngay trong ngày đã được xử trí ban đầu bằng dẫn lưu khí màng phổi tối thiểu, triệu chứng lâm sàng và hình ảnh trên phim Xquang lồng ngực ngực có cải thiện. 2 ngày sau thủ thuật được kẹp ống dẫn lưu màng phổi để kiểm tra, bệnh nhân đột ngột xuất hiện triệu chứng đau tức ngực phải nhiều, suy hô hấp, mạch nhanh, môi tím. Bệnh nhân được chỉ định chụp Xquang lồng ngực kiểm tra lại, kết quả cho thấy bệnh nhân bị tràn khí màng phổi phải tiếp diễn số lượng nhiều, xẹp phổi trái.

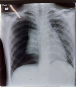
Hình ảnh Xquang tràn khí gây xẹp phổi P
Sau khi hội chẩn bệnh nhân đã được chỉ định phẫu thuật nội soi cấp cứu. Kíp mổ khoa Ngoại Tổng hợp bệnh viện Trẻ em Hải Phòng đã tiến hành Phẫu thuật nội soi lồng ngực xử trí. Trong mổ kiểm tra thấy đỉnh phổi phải có 1 kén khí lớn bị vỡ là nguyên nhân gây tràn khí, các bác sĩ đã tiến hành cắt bỏ kén khí, khâu lại nhu mô phổi và đặt dẫn lưu màng phổi. Sau phẫu thuật tình trạng bệnh nhân ổn định .
Một số hình ảnh trong phẫu thuật:

Gây mê phẫu thuật

Hình ản kén khí trong mổ

XQ ngực bệnh nhân sau mổ 24h, phổi nở hoàn toàn, không có tình trạng tràn máu, tràn khí màng phổi
Ths. BS CK II Trần Minh Cảnh, Phó giám đốc bệnh viện cho biết: Nguyên nhân dẫn đến tràn khí màng phổi tự phát tiên phát ở người trẻ, không có bệnh lý phổi trước đó thường xuất hiện ở người trẻ, do vỡ bóng, kén khí phổi. Người bệnh có tràn khí màng phổi, gây xẹp phổi gây suy hô hấp, đè đẩy vào tim ảnh hưởng đến huyết động. Nếu không được xử lý kịp thời người bệnh có thể nguy hiểm đến tính mạng.
Phẫu thuật nội soi lồng ngực là một phương pháp điều trị tiên tiến cho bệnh lí lồng ngực. Đây là phương pháp điều trị ít xâm lấn trong các bệnh lý lồng ngực, giảm đau sau mổ và rút ngắn thời gian hậu phẫu. Không chỉ giúp giảm tỷ lệ tái phát bệnh mà còn mang lại tính hiệu quả về thẩm mỹ.
Các bác sĩ khuyến cáo người dân khi có biểu hiện đau tức ngực, khó thở cần đến cơ ở y tế để khám và xử lý kịp thời, tránh để bệnh tiến triển nặng, nguy hiểm đến tính mạng, đặc biệt là trẻ em nhỏ tuổi cần đến đúng các cơ sở chuyên khoa Phẫu thuật, gây mê hồi sức Nhi.
Bệnh Viện Trẻ em Hải Phòng phục vụ cấp cứu 24/24 giờ trong ngày, là Bệnh viện chuyên khoa Nhi hàng đầu tại Thành Phố Hải Phòng, luôn đi đầu trong cập nhật các kĩ thuật mới đem lại lợi ích cho người bệnh trong thành phố cũng như các tỉnh thành lân cận.