
Bệnh viện Trẻ em Hải Phòng là bệnh viện hạng I tại Thành phố hoa
phượng đỏ với bề dày lịch sử 45 năm điều trị hầu hết các bệnh lý Nhi khoa. Có
lẽ Hô Hấp là một chuyên ngành thế mạnh của bệnh viện khi điều trị khỏi nhiều
mặt bệnh: viêm phế quản, viêm phổi, viêm tiểu phế quản, khám và quản lý hen phế
quản, viêm phổi thùy và apce phổi,… Bài viết này chúng tôi xin gửi đến quý đọc
giả một cái nhìn tổng quan về bệnh Apce phổi ở trẻ em.
Khi trẻ bị viêm phổi
được điều trị kháng sinh phù hợp, kết quả thường khá khả quan: khoảng 70% trẻ
sẽ khỏi mà không để lại di chứng gì. Tuy nhiên, trong một số trường hợp, viêm
phổi có thể có biến chứng. Một trong những biến chứng nặng nề mà trẻ phải chịu
đựng là hình thành những ổ mủ trong phổi. Đó chính là áp-xe phổi. Đây là bệnh
rất nặng và có nhiều biến chứng nguy hiểm ảnh hưởng tới sinh mạng của bệnh
nhi. Với những tiến bộ trong điều trị hiện nay, số trẻ bị áp-xe phổi đã giảm rõ
rệt so với nhiều chục năm trước đây, tuy nhiên, trong thời gian gần đây, biến
chứng viêm phổi hoại tử, thậm chí áp-xe phổi lại có xu hướng tái xuất hiện.
Áp-xe phổi là gì?

Đây một bệnh lý viêm nhiễm cấp tính gây hoại tử ở nhu mô phổi,
tạo nên một hay nhiều hang chứa mủ có kích thước trên 2cm. Có 2 loại áp xe phổi:
- Áp-xe phổi nguyên phát: xảy ra ở trẻ mạnh khoẻ - phổi bình
thường trước đây;
- Áp-xe phổi thứ phát: xảy ra ở trẻ có bất thường phổi bẩm sinh
hoặc mắc phải (như sau viêm phổi, viêm phổi hít, biến chứng sau phẫu thuật...).
Ai dễ bị áp-xe phổi?
Bệnh có thể gặp ở mọi
lứa tuổi, đặc biệt ở bệnh nhân có suy giảm khả năng miễn dịch của cơ thể và thường
gặp hơn ở trẻ dưới 3 tuổi.
Các yếu tố nguy cơ dễ
bị áp-xe phổi ở trẻ em là: Suy giảm miễn dịch bẩm sinh hoặc mắc phải
(HIV/AIDS), trong đó còn có thể do thuốc ức chế miễn dịch, điều trị ung thư; Dị
tật lồng ngực, dị tật phổi bẩm sinh, trẻ dễ bị hít sặc vào phổi, nhất là khi có
vệ sinh răng miệng kém: bại não, bệnh thần kinh - cơ; sau gây mê, đặt nội khí
quản, thở máy; rối loạn nuốt; bất thường hoạt động thực quản; Chấn thương lồng
ngực, dị vật đường thở bỏ quên.
Nguyên nhân chính của
áp-xe phổi là do vi khuẩn, có thể do vi khuẩn xâm nhập vào theo đường phế quản,
theo đường máu, do viêm phổi hay xâm nhập qua cơ hoành. Vi khuẩn thường gặp ở
đây là phế cầu, tụ cầu vàng, liên cầu...
Dấu hiệu của bệnh
Điển hình thường có biểu hiện qua các
giai đoạn như sau:
1. Giai đoạn ổ mủ kín: bệnh nhân có ho, sốt cao 39-400C,
đau ngực, có thể có khó thở.

2. Giai đoạn ộc mủ: sau 1 thời gian, bệnh nhân đột ngột ho tăng
lên, đau tăng. Ho dữ dội và ộc ra rất nhiều mủ. Mủ đặc quánh màu vàng hoặc nhầy
màu vàng, có thể có mùi rất thối. Bệnh nhân vã mồ hôi, mệt lả, sau đó hết sốt,
dễ chịu, ăn ngủ được. Ở giai đoạn ộc mủ, cần đề phòng mủ tràn vào đường thở gây
ngạt thở. Bệnh nhân có thể ho ra máu hoặc khạc ra ít mủ nhiều lần trong ngày.
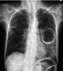
3. Giai đoạn ổ mủ thông với phế quản: bệnh nhân vẫn ho dai dẳng,
nhất là khi thay đổi tư thế và khạc mủ số lượng ít hơn. Xquang ngực trong giai
đoạn điển hình có thể cho thấy ổ mủ trong phổi rõ ràng với một hoặc nhiều hang
dạng tròn có mức nước - hơi, bờ dày, xung quanh là tổ chức phổi đông đặc do bị
viêm.

Biến chứng nguy hiểm
Áp-xe phổi có thể gây
ra các biến chứng nguy hiểm như viêm mủ màng phổi, viêm mủ màng tim do vỡ ổ
áp-xe lây lan; áp-xe não, viêm màng não; giãn phế quản quanh ổ áp-xe; ho máu
nặng (gọi là ho máu sét đánh); nấm phổi; nhiều bệnh nhân bị suy kiệt và có thể
tử vong. Tử vong do áp-xe phổi ngày nay tuy ít gặp hơn trước đây nhưng trên thế
giới, tỷ lệ này thay đổi nhiều từ 2 - 38% tùy vùng, quốc gia.
Điều trị thế nào?
Dù là bệnh nặng nhưng
áp-xe phổi vẫn có thể điều trị khỏi bằng nội khoa hoặc ngoại khoa tuy cần phải
thật khẩn trương, tích cực và đòi hỏi nhiều thời gian, công sức trong môi
trường chuyên khoa. Việc điều trị bao gồm:
Kháng sinh: cần điều
trị kháng sinh sớm, liều cao, đường tĩnh mạch, phối hợp kháng sinh. Thời gian
điều trị là lâu dài và thường phải tính bằng tuần: thường 6-8 tuần, trong đó ít
nhất 2 tuần bằng đường tiêm truyền tĩnh mạch.
Dẫn lưu ổ áp-xe với
các phương pháp: dẫn lưu tư thế (tùy theo vị trí ổ mủ mà chọn tư thế bệnh nhân
để mủ dễ ra ngoài kết hợp với vỗ rung lồng ngực), chọc dẫn lưu mủ qua thành
ngực, hút mủ qua nội soi phế quản ống mềm... Các điều trị khác: Đảm bảo chế độ
dinh dưỡng cho bệnh nhân; Đảm bảo cân bằng nước điện giải, thăng bằng kiềm
toan; Giảm đau, hạ sốt.
Những trường hợp cần
chỉ định phẫu thuật cắt phần phổi chứa ổ áp-xe: Ổ áp-xe lớn, có kích thước
trên 8cm; Áp-xe phổi mạn tính điều trị nội khoa không kết quả sau 6 tuần; Ho ra
máu tái phát hoặc ho máu lượng nhiều đe doạ tính mạng; Áp-xe phối hợp với giãn
phế quản khu trú nặng; Có biến chứng dò phế quản - khoang màng phổi.
Lời khuyên của thầy
thuốc
Phòng ngừa áp-xe phổi
có khó? Áp-xe phổi là bệnh nặng, có thể có biến chứng nguy hiểm, việc điều
trị khó khăn, tốn kém vì phải dùng thuốc kháng sinh kéo dài mà có khi lại cần
phải phẫu thuật cắt bỏ phổi. Do đó, việc phòng bệnh có ý nghĩa rất quan trọng
và bao gồm các biện pháp như: Luôn giữ vệ sinh răng miệng, mũi, họng để tránh
viêm nhiễm từ trên lan xuống phổi gây áp-xe, đặc biệt ở bệnh nhân có nguy cơ đã
nêu trên. Phòng chống viêm hô hấp cấp nói chung và viêm phổi nói riêng. Ðiều
trị tích cực các nhiễm khuẩn răng hàm mặt, tai mũi họng, hô hấp. Ðiều trị triệt
để các bệnh là yếu tố nguy cơ gây áp-xe phổi. Phòng ngừa các dị vật rơi vào
đường thở.
Với bề dày lịch sử
trên 45 năm - Khoa Hô Hấp được hình thành lập từ tháng 9 năm 1977 với đội ngũ
Bác sĩ và Điều dưỡng lành nghề, chuyên nghiệp và có trình độ cao hàng năm đã khám
và điều trị nội trú thành công cho trên 3000 lượt bệnh nhân mắc bệnhđường hô
hấp cấp (Viêm thanh quản, viêm phế quản, viêm tiểu phế quản, viêm phổi, viêm
phổi thùy, áp xe phổi, tràn dịch màng phổi, tràn khí màng phổi,…).Khám và điều
trị ngoại trú, quản lý bệnh nhân mãn tính bệnh lý hô hấp cho trên 1200 trẻ.
Thực hiện thăm dò chức năng hô hấp cho trên 600 trẻ và nội soi phế quản ống mền
để chẩn đoán và can thiệp cho trên 250 trẻ…
CNĐD. Lê Thị Thơ - Khoa Hô hấp