Sau 7 ngày không ngừng cố gắng cùng với các cô chú - đội
ngũ Y bác sĩ tại khoa Hồi sức cấp cứu - Chống độc Bệnh viện trẻ em Hải Phòng, hôm
nay chia tay các cô chú trên khoa, con đã sẵn sàng để trở về nhà cùng với ba mẹ.
Ngày 10/07/2023 con sản phụ Đ.T.T
sinh ra tại BV Phụ Sản Hải Phòng trong niềm hân hoan của gia đình nhưng niềm
vui chưa được bao lâu, sau khi mổ đẻ 3 giờ con bắt đầu có biểu hiện suy hô hấp
rất nặng và được chuyển sang BV Trẻ em Hải Phòng. Trẻ được nhập khoa Hồi sức cấp cứu - chống độc trong tình trạng: Li bì, , thở rên, co kéo cơ hô hấp mạnh, thở oxy gọng, môi
chi tím tái, ran ẩm đầy 2 phổi, trào bọt hồng ra miệng, mũi...
Ngay khi trẻ được tiếp nhận vào
khoa, các y bác sĩ đã nhanh chóng đặt nội khí quản cấp cứu, cho thở máy, truyền
máu....và làm các xét nghiệm như chụp X quang ngực, xét nghiệm máu, đo khí
máu,... Với kinh nghiệm, trình độ chuyên môn sâu của các y bác sĩ BVTE Hải
phòng bệnh nhi được chẩn đoán: Suy hô hấp độ III / Xuất huyết phổi / Rối loạn
đông máu/ Mổ đẻ. Trẻ có nguy cơ tử vong rất cao do tình trạng chảy máu ồ ạt
trong phổi trên nền một bệnh nhi có rối loạn đông máu, suy hô hấp nhưng không
vì thế mà đội ngũ Y bác sĩ từ bỏ hy vọng, từ bỏ cố gắng. Sau nhiều giờ căng thẳng,
liên tục cố gắng để xử trí cấp cứu, điều trị nguyên nhân, điều trị rối loạn
đông máu, bơm thuốc trưởng thành phổi... thì cuối cùng những tia sáng đầu tiên
của hy vọng cũng bắt đầu le lói, trẻ đã có biểu hiện đáp ứng với điều trị, môi
chi đã hồng hơn,...Đó là một cuộc chạy đua với thời gian để giành lại sự sống
và giảm các di chứng thiếu oxy não cho bệnh nhi.
Trong những giờ sau đó do tình trạng
của trẻ vẫn rất nguy kịch, trẻ vẫn còn tình trạng suy hô hấp nặng phải thở máy,
tụt huyết áp, còn chảy máu phổi nặng, rối loạn đông máu....Các bác sĩ lại tiếp
tục hội chẩn chuyên môn cùng nhau để đưa ra hướng điều trị tốt nhất, sau đó trẻ
đã được truyền máu nhiều lần, các yếu tố đông máu,....Đáp lại những cố gắng của
đội ngũ y bác sĩ trong khoa thì bản thân con cũng đã rất kiên cường không ngừng
vượt qua chính bản thân mình để rồi tình trạng con bắt đầu tiến triển tốt dần,
từng bước cai được máy thở, rồi tự thở, bắt đầu ăn được sữa qua sonde đến tự nuốt
sữa được.
Đến nay sau 7 ngày điều trị, tất cả
những cố gắng của đội ngũ Y bác sĩ và sự mong chờ của gia đình cũng được đền
đáp, may mắn đã mỉm cười với con, trẻ đã ổn định, tự thở, môi chi hồng, phổi
thông khí đều và con đã sẵn sàng có thể ra viện, chào tạm biệt cô chú để trở về
cùng ba mẹ - Đây chính một món quà to lớn và ý nghĩa nhất đối với đội ngũ Y bác
sĩ. Cảm ơn con và đội ngũ Y bác sĩ, điều dưỡng đã không bỏ cuộc
trong cuộc chiến đầy gian nan này.
Con đường phía trước đối với con và gia
đình có thể còn nhiều khó khăn nhưng sẽ không bao giờ là đơn độc, bởi vẫn luôn
có các y bác sĩ, cán bộ nhân viên Bệnh viện Trẻ em Hải Phòng luôn sẵn sàng đồng
hành, sẻ chia, giúp đỡ con và gia đình vượt qua.

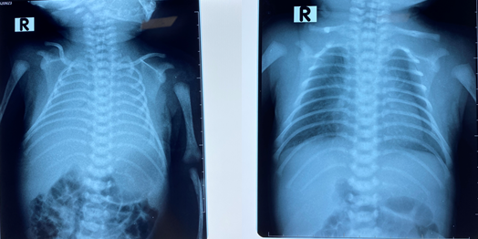
Hình ảnh cháu bé trong đợt điều trị tại Khoa
Hồi sức tích cực và Chống độc

X quang phổi trước và sau khi con được điều trị