Bệnh nang ruột đôi hay rộng
hơn là đường tiêu hóa đôi là 1 bất thường của hệ tiêu hóa rất hiếm
gặp với tần xuất 1/18.000 trẻ sinh sống, trong đó có đoạn ruột có
cấu trúc như ruột nhưng phát triển thừa và dính chặt vào một đoạn
ruột bình thường của đường tiêu hóa. Ruột đôi có 2 dạng : hình cầu và
dạng hình ống. Niêm mạc của ruột đôi là niêm mạc ruột, nhưng có trường hợp
niêm mạc là niêm mạc dạ dày lạc sản nên gây xuất huyết tiêu hoá, viêm loét và
thủng ruột.
Vừa qua
các bác sĩ khoa Ngoại tổng hợp Bệnh viện Trẻ em Hải Phòng đã thực hiện thành
công ca nội soi cắt nang ruột đôi. Bệnh
nhi Ng.K.T.A trú tại xã Phù Ninh, Thủy Nguyên, thành phố Hải Phòng, bệnh nhi có
tiền sử đau bụng.
Ngày
15/07/2024, bệnh nhi đến Bệnh viện Trẻ em Hải Phòng trong tình trạng đau bụng
nhiều, đau thành cơn quanh khu vực rốn,... Các bác sĩ đã tiến hành làm các xét nghiệm
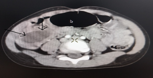
và thăm dò chức năng cần thiết: Qua hình ảnh chụp cắt lớp vi tính có thuốc cản
quang ổ bụng phát hiện hình ảnh “Nang ruột đôi” kích thước 39 x 27 mm .
Sau khi
được chẩn đoán “Nang ruột đôi”, trẻ có chỉ định phẫu thuật cắt nang bằng kỹ
thuật nội soi. Sau 1 giờ phẫu thuật, kíp phẫu thuật gồm: BS CKI Nguyễn Mạnh
Toàn,BS CK I Nguyễn Quốc Khánh, BS Gây mê CK I Phan Thị Hoài Nam đã phẫu thuật
cắt chỏm nang ruột đôi thành công.
Qua 4 ngày
hậu phẫu, cháu phục hồi tốt, ăn được cơm. BN được ra viện sau 6 ngày phẫu thuật


Hình ảnh nang ruột đôi trên phim CT Scanner ổ bụng

Nang ruột đôi trong mổ nội soi

Ảnh cắt nang ruột đôi trong mổ nội soi

Hình ảnh sau mổ Nang ruột đôi ngày thứ 6
NANG RUỘT ĐÔI
Bệnh
đường tiêu hóa đôi có thể tìm thấy ở bất cứ nơi nào thuộc đường tiêu hóa
từ miệng cho đến hậu môn và có thể gặp ở bất kì tuổi nào, phần lớn
(75%) gặp là ruột non đôi và hiện diện trước 2 tuổi . Biểu hiện của bệnh
vì thế rất khác nhau tùy theo vị trí và kích thước của đường tiêu
hóa đôi. Nếu gặp ở ngực thì trẻ có thể bị suy hô hấp , nếu gặp ở
dạ dày ruột thì có thể gây đau bụng không giải thích được, gây tắc
ruột, chảy máu đường tiêu hóa hoặc táo bón cho trẻ.
Cách điều
trị duy nhất là phẫu thuật sớm để tránh các biến chứng không tốt có thể xảy ra.
Hiện nay với phẫu thuật nội soi thì việc thám sát và tìm nang ruột
đôi dễ dàng và thuận lợi hơn so với mổ mở trước kia, ít xâm lấn, ít
gây đau và cho trẻ thời gian nằm viện ngắn hơn. Vì vậy, khi trẻ nhỏ
thường than đau bụng, rối loạn tiêu hóa, các bậc cha mẹ nên chú ý và cho con đi
khám để phát hiện bệnh sớm nếu có.